Checked content

File:Schizophrenia fMRI working memory.jpg

Summary

Description
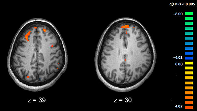
English: Image showing brain areas more active in controls than in schizophrenia patients during a working memory task during a fMRI study. Two brain slices are shown.
Date 2010
Source PLoS One. 2010 Aug 11;5(8):e12068. An event-related FMRI study of phonological verbal working memory in schizophrenia.doi:10.1371/journal.pone.0012068.g002. PMID 20725639
Author Kim J, Matthews NL, Park S.
Permission
( Reusing this file)
w:en:Creative Commons
attribution
This file is licensed under the Creative Commons Attribution 2.5 Generic license.
You are free:
  • to share – to copy, distribute and transmit the work
  • to remix – to adapt the work
Under the following conditions:
  • attribution – You must attribute the work in the manner specified by the author or licensor (but not in any way that suggests that they endorse you or your use of the work).

PLOS
This file was published in a Public Library of Science journal. Their website states that the content of all PLOS journals is published under the Creative Commons Attribution 2.5 license, unless indicated otherwise.

Cropped from the full original image, leaving only the substraction between patients and controls. All p-values are corrected with false discovery rate of q<0.005.

The following pages on Schools Wikipedia link to this image (list may be incomplete):

Metadata

Wikipedia for Schools...

Wikipedia for Schools was collected by SOS Childrens Villages. SOS Children's Villages works in 133 countries and territories across the globe, helps more than 62,000 children, and reaches over 2 million people in total. Would you like to sponsor a child?